Топ-100

Что такое имплантация All-on-6®

All-on-6 — это вариант метода «Все зубы на 4 имплантах», но не на четырёх, а на шести имплантах. Технология такая же — мы устанавливаем 6 имплантов, прямо и под наклоном, а на них ставим полный протез на всю челюсть из 10–12 зубов.

Метод All-on-6 подходит в тех случаях, когда у пациента недостаточно костной ткани для реализации классического метода на четырёх имплантах. В таких случаях два дополнительных импланта позволяют зафиксировать протез более надёжно.

Классическая имплантация
Имплантация «Все зубы сразу»
Имплантация All-on-6
Ищете максимально низкую цену имплантации зубов «Все на 6»?
Тогда запишитесь на консультацию в «Новую Орбиту»
* На основе маркетингового исследования от 10.03.2025
  • Предлагаем существенно сэкономить на протезировании и стоимости материалов
  • Оборудовали собственную зуботехническую лабораторию и организовали прямую доставку материалов из Европы.
* На основе маркетингового исследования от 10.03.2025
Эксперт мировых сообществ
Леван Шария
Врач - хирург-имплантолог, основатель клиники «Новая Орбита»
17 лет
Клинической практики
2 200+
Имплантов установлено
70
Операций в месяц

Вас будут лечить эксперты по All-on-6

Наша команда опытных имплантологов и ортопедов восстановит ваши зубы по методу All-on-6 даже в сложных случаях. Мы проводим операции пациентам, которым отказывают в других клиниках, и при необходимости делаем костную пластику.

Входит в ТОП-10 лучших стоматологий Санкт-Петербурга
Официальный партнёр
Nobel Biocare™

по All-on-4
Получили приз “Лучший сервис”

Результаты полного протезирования на 6 имплантах

Улыбка как в юности Всего за 2-3 приёма вы получите совершенно новую, красивую и естественную улыбку
Любимая еда сразу Уже на следующий день после установки протеза вы сможете увеличивать нагрузку на протез
Полноценная жизнь Уход как за своими зубами: только ежедневная чистка зубов
Чёткая дикция Несъёмные протез обеспечивает абсолютно чёткую дикцию, как со своими зубами
Теперь всё это реально благодаря швейцарскому методу All-on-6®
«Новая Орбита» официально одобрена создателями метода All-on-6 Nobel Biocare™
6 имплантов и протез за 1 приём
Мы сразу ставим облегчённый адаптационный протез из 10–12 зубов. Постоянный протез можно устанавливать через 6 месяцев.
Имплантация с комфортом
Мы проводим операцию под анестезией последнего поколения, действия которой хватает на весь процесс операции.
Без костной пластики
Обычно мы предлагаем операцию All-on-6 пациентам, у которых недостаточно костной ткани для установки 4 имплантов.

Посмотрите отзывы наших пациентов

Они выбрали клинику «Новая Орбита» и не пожалели
Смотреть отзыв 01:31
До
После
Имя пациента: Дряглева Татьяна, 72 года
Лечащий врач: Леван Шария
Всегда боялась врачей, но здесь лечила зубы с удовольствием. Удаление зубов на обеих челюстях, а также имплантацию, провели с комфортом - как и обещали!
Смотреть отзыв 1:13
До
После
Имя пациента: Рекконен Сергей Владимирович, 41 год
Лечащий врач: Филипп Горелов
У меня была проблема с зубами, долго я не мог улыбаться. Работа такая, что приходилось прятать улыбку, что очень давило на меня. Я уже потерял надежду, стал искать клинику в интернете. Наткнулся на стоматологию Новая Орбита, почитал отзывы, появилась уверенность. У меня был хирург Филипп Валерьевич, тоже прочитал сначала про него. Мне поставили 6 имплантов сверху, 6 имплантов снизу и временные протезы. Через пол года поставили протезы уже на постоянной основе.Зубы сделали лучше старых.
До
После
Имя пациента: Андрей, 65 лет
Лечащий врач: Тимур Дадашев
Зубов совсем не осталось, не мог даже есть нормально. Здесь вернули сразу все, вышел уже с новой улыбкой, ем теперь всё!
До
После
Имя пациента: Аркадий, 50 лет
Лечащий врач: Дмитрий Решетняк
Глубоко благодарен доктору Решетняку за то, что вернул мне все зубы! Теперь ем, что хочу, улыбка и правда как в молодости!
Смотреть отзыв 01:45
До
После
Имя пациента: Тяпкина Светлана, 67 лет
Лечащий врач: Леван Шария
Решили проблемы с зубами на обеих челюстях именно так, как я мечтала. Доступно объяснили все этапы лечения. Порадовала фиксированная и прозрачная цена на все процедуры.
Смотреть отзыв 01:36
До
После
Имя пациента: Рыбак Надежда, 65 лет
Лечащий врач: Тарас Лемешко
Удалили зубы и поставили импланты на верхней челюсти за 1 день. Все под анестезией и с комфортом.
Смотреть отзыв 01:39
До
После
Имя пациента: Морозов Игорь, 62 года
План лечения: Имплантация
Лечащий врач: Леван Шария
Устал от старых коронок. Доверился отличным врачам. Стал больше улыбаться. Жизнь изменилась к лучшему. Спасибо за лечение!
Смотреть отзыв 01:26
До
После
Имя пациента: Хвостов Юрий, 66 лет
Лечащий врач: Леван Шария
Качественно вылечили и доступно объяснили мою проблему. Предложили самую адекватную стоимость на установку имплантов и протезирование. Стало комфортнее жить!
Смотреть отзыв 00:39
До
После
Имя пациента: Хвостов Юрий, 66 лет
Лечащий врач: Леван Шария
Спасибо, Новая Орбита! С новыми красивыми зубами абсолютно другие ощущения: всё легко, удобно и просто.
Смотреть отзыв 1:52
До
После
Имя пациента: Бориснев Василий Леонидович, 60 лет
Лечащий врач: Филипп Горелов
Жалею, что не сделал этого раньше. Всё время общаясь с людьми, приходилось себя контролировать.Сейчас я себя чувствую действительно другим человеком. Я могу свободно общаться, разговаривать с людьми, смеяться. Я очень благодарен врачам, Филиппу Валерьевичу и его ассистенту Сандро. Чуткое внимание, человеческое отношение и профессиональная работа.
Смотреть отзыв 1:14
До
После
Имя пациента: Година Софья Владимировна, 50 лет
План лечения: Имплантация
Лечащий врач: Филипп Горелов
Я диализный пациент, высокий риск при любом операционном вмешательстве. Мне посоветовали клинику Новая Орбита. Я настолько довольна и отношением персонала, и профессионализмом специалистов и вообще результатом работы. Я не чувствовала в связи с особенностями своего заболевания ни отёков, ни осложнений.
Смотреть отзыв 00:19
До
После
Имя пациента: Темников Дмитрий, 52 года
Лечащий врач: Юрий Кость
Потрясающе! Жалею, что не прошёл через процедуру раньше. Жизнь заиграла новыми красками, как и внешность.
Смотреть отзыв 01:30
До
После
Имя пациента: Ксения, 22 года
План лечения: Лечение зубов
Лечащий врач: Заира Кукарова
Из-за аллергии лечу зубы без анестезии. Удалили кариес без дискомфорта, аккуратно. Приду еще!
До
После
Имя пациента: Бессонова Людмила, 62 года
План лечения: Протезирование
Лечащий врач: Денис Давитиашвили
Я могу теперь не стесняться своей улыбки и дарить её людям!
Смотреть отзыв 00:18
До
После
Имя пациента: Аксёнов Сергей, 62 года
Лечащий врач: Тимур Дадашев
Однозначно рекомендую! Если нужна имплантация — только сюда!
До
После
Имя пациента: Колодин Олег, 65 лет
Лечащий врач: Леван Шария
Моя благодарность клинике. После операции всё стало по-другому, буквально новая жизнь.
До
После
Имя пациента: Бушмин Денис, 42 года
Лечащий врач: Леван Шария
Похорошел, помолодел и повеселел, наслаждаюсь от души, всем советую!
До
После
Имя пациента: Воропаев Фёдор, 51 год
Лечащий врач: Тимур Дадашев
Надеялся на хороший результат, а вышло так, что лучше и не бывает! Грамотные специалисты.
До
После
Имя пациента: Калинкина Юлия, 52 года
Лечащий врач: Леван Шария
Эта операция творит чудеса: минус 15 лет за несколько часов в очень комфортных условиях!
До
После
Имя пациента: Бизина Александра, 49 лет
Лечащий врач: Леван Шария
Одно из лучших событий в жизни произошло благодаря «Новой Орбите»! Огромное спасибо шикарным врачам за шикарную улыбку!
До
После
Имя пациента: Калинин Василий, 64 года
Лечащий врач: Юрий Кость
В свои 60 с такими зубами дам фору молодым! Отличные имплантологи, своё дело знают.
До
После
Имя пациента: Дедова Олеся, 47 лет
Лечащий врач: Леван Шария
Безумно счастлива, что попала в Новую Орбиту и обрела зубы мечты!
До
После
Имя пациента: Михаил, 35 лет
Лечащий врач: Заира Кукарова
Из-за курения зубы очень сильно пожелтели, появился налёт, который не счищался. Тут совсем справились на ура!
До
После
Имя пациента: Ирина, 30 лет
План лечения: Отбеливание зубов
Лечащий врач: Заира Кукарова
Процедура оказалась довольно комфортной, эффект уже сколько держится! Очень довольна результатом, спасибо!
До
После
Имя пациента: Артём, 30 лет
План лечения: Отбеливание зубов
Лечащий врач: Заира Кукарова
Эффект выше всяких похвал, к тому же процедура не заняла много по времени. Порекомендовал вас коллеге.
До
После
Имя пациента: Алина, 25 лет
План лечения: Лечение кариеса
Лечащий врач: Заира Кукарова
Повезло, что кариес был неглубоким, вылечили с помощью специального геля, я ничего и не почувствовала. В случае чего, теперь знаю, куда идти!
До
После
Имя пациента: Дмитрий, 55 лет
Лечащий врач: Владислав Жгутов
Зубов уже давно не было, в одной клинике отказали в имплантации. Здесь же мне подарили новые зубы. Глубоко благодарен врачам, вернули мне полноценную жизнь!
До
После
Имя пациента: Валентина, 45 лет
План лечения: Импланты на 3 зуба
Лечащий врач: Владислав Жгутов
С новыми зубами чувствую себя увереннее и красивее, чаще улыбаюсь. Оказалось, имплантация проходит не сложнее удаления зуба, рада, что решилась.
До
После
Имя пациента: Людмила, 35 лет
План лечения: Отбеливание зубов
Лечащий врач: Заира Кукарова
Улыбка прямо преобразилась, от тёмных мест на эмали ничего не осталось. Процедуру провели очень бережно, я чуть было не уснула в процессе.
До
После
Имя пациента: Карина, 20 лет
План лечения: Лечение зубов
Лечащий врач: Заира Кукарова
Спасли от кариеса и я даже не ощутила дискомфорта! Пломбу не заметить, довольна лечением.
До
После
Имя пациента: Игорь, 40 лет
Лечащий врач: Заира Кукарова
Профчистку сделали очень аккуратно. Дёсны перестали кровоточить, так как удалось убрать зубной камень. Теперь буду регулярно приходить на процедуру.
До
После
Имя пациента: Анна, 45 лет
План лечения: Реставрация зубов
Лечащий врач: Заира Кукарова
Беспокоили неровности и сколы на зубах, но всё удалось исправить с помощью композита. Зубки как новые!
До
После
Имя пациента: Алексей, 20 лет
План лечения: Лечение зубов
Лечащий врач: Заира Кукарова
Кариес вылечили с комфортом, я ничего не ощутил. По времени тоже быстро получилось. Спасибо вам за работу!
До
После
Имя пациента: Мария, 40 лет
План лечения: Установка коронок
Лечащий врач: Денис Давитиашвили
После установки коронок было даже непривычно, так как будто новые зубы появились. И выглядят естественно, улыбка стала красивее.
До
После
Имя пациента: Александр, 80 лет
План лечения: Протезирование
Лечащий врач: Денис Давитиашвили
Зубов вообще не осталось, обратился за установкой протеза, хотелось, чтобы было удобно с ним. Не пожалел. Выглядит естественно, свою функцию выполняет, и нигде не давит, я доволен.
До
После
Имя пациента: Любовь, 80 лет
От всей души благодарна врачам за то, что вернули мне зубы, теперь ем как следует и смело улыбаюсь!
До
После
Имя пациента: Геннадий, 65 лет
Лечащий врач: Денис Федосов
Не было многих зубов, не мог есть твёрдую пищу. Протезирование прошло комфортно, всё выглядит естественно. Теперь наконец вернулся к полноценной жизни!
До
После
Имя пациента: Ольга, 40 лет
План лечения: Установка коронок
Лечащий врач: Денис Федосов
Ставила импланты, настал черёд коронок. Сели как родные! Не жмут нигде, не натирают, от своих и не отличить, просто отлично!
До
После
Имя пациента: Олег, 35 лет
План лечения: Имплантация
Лечащий врач: Дмитрий Решетняк
Потерял два зуба, нужна была имплантация. Врач все очень бережно установил, я ничего не почувствовал. Улыбка выглядит значительно лучше, чувствую себя увереннее. Спасибо вам за работу!
До
После
Имя пациента: Екатерина, 70 лет
Лечащий врач: Дмитрий Решетняк
Для меня сотворили настоящее чудо — вернули все зубы и красивую улыбку! Наконец могу не стесняться улыбаться и разговаривать.
До
После
Имя пациента: Николай, 80 лет
Лечащий врач: Григорий Самсонов
Очень рад. что удалось восстановить зубы. Жевать стало удобнее, ничего не натирает, и улыбка выглядит естественно. Спасибо!
До
После
Имя пациента: Алевтина, 65 лет
Лечащий врач: Григорий Самсонов
Не было многих зубов, жевать было практически невозможно. Но сейчас абсолютно никаких ограничений! Чувствую себя здоровой и красивой.
До
После
Имя пациента: Анастасия, 70 лет
План лечения: Протезирование
Лечащий врач: Григорий Самсонов
Счастлива, что наконец вернула себе улыбку как в молодости. Процедуры прошли комфортно, ко мне относились с вниманием и заботой. Зубы как новые!
До
После
Имя пациента: Татьяна, 55 лет
План лечения: Имплантация
Лечащий врач: Юрий Кость
Восстановила сразу 2 зуба, это было лучшим решением. Жую как следует, а новые зубы от своих не отличить!
До
После
Имя пациента: Владимир, 70 лет
Лечащий врач: Вадим Сумин
У меня совсем не было зубов, поэтому протезы стали настоящим спасением. Рад, что сейчас вернулся к обычной жизни, могу нормально есть и улыбаться!
До
После
Имя пациента: Вера, 80 лет
Лечащий врач: Вадим Сумин
Считаю, что это было лучшим вложением! Ощущения потрясающие, чувствую себя здоровой, стала чаще улыбаться!
До
После
Имя пациента: Антон, 40 лет
План лечения: Коронки
Лечащий врач: Вадим Сумин
В одной клинике сказали удалять зубы, а здесь удалось сохранить и поставить коронки. Вот это я понимаю, настоящий профессионализм!
До
После
Имя пациента: Виктория, 35 лет
План лечения: Виниры
Лечащий врач: Вадим Сумин
Беспокоили неровности и потемнения, но виниры всё решили. Улыбка стала идеальной, как я и хотела, результат превзошёл ожидания!
До
После
Имя пациента: Галина, 70 лет
Лечащий врач: Захар Вершинин
Никогда бы не подумала, что и со съёмными протезами мне будет так удобно! Выглядят красиво, жуётся с ними тоже лучше. Очень счастлива!
До
После
Имя пациента: Борис, 80 лет
Лечащий врач: Захар Вершинин
Ни разу не пожалел о решении. Чувствую себя моложе, да и есть удобно, уже и забыл, что это протез. Очень рад, что теперь могу есть любимые блюда!
До
После
Имя пациента: Дарья, 40 лет
План лечения: Коронки
Лечащий врач: Захар Вершинин
Коронки стали завершающим этапом после имплантации. Восстановила два зуба, а эффект такой, будто весь организм оздоровился!
До
После
Имя пациента: Вадим, 65 лет
Лечащий врач: Тарас Лемешко
Зубов не было совсем, от этого и жизнь была не в радость. Сейчас наконец могу наслаждаться едой, улыбаться и разговаривать без стеснения!
До
После
Имя пациента: Евгения, 45 лет
План лечения: Коронки
Лечащий врач: Тарас Лемешко
Ставила коронки на свои зубы и на импланты, от родных никак не отличаются. Но главное — выглядят очень натурально и красиво. И улыбаюсь теперь смелее!
До
После
Имя пациента: Зарина, 35 лет
План лечения: Виниры
Лечащий врач: Заира Кукарова
Хотелось скорректировать эстетику,избавиться от пятнышек и явных шероховатостей. Результат получился шикарным! И цена для этого более, чем приемлемая.
До
После
Имя пациента: Инна, 30 лет
План лечения: Виниры
Лечащий врач: Заира Кукарова
Не могу налюбоваться на свою новую улыбку! Теперь зубки выглядят идеально, все ровные и тон хорошо подошёл!
До
После
Имя пациента: Ксения, 70 лет
Безмерно благодарна за то, что мне вернули зубы, а вместе с ними и радость. Уже и забыла, каково это, улыбаться, не прикрывая рот рукой.
До
После
Имя пациента: Глеб, 20 лет
План лечения: Лечение зубов
Лечение прошло очень комфортно, никакого дискомфорта не испытал. Понравилось внимательное отношение врача.
До
После
Имя пациента: Кристина, 30 лет
Предельно аккуратная и бережная работа. Пока это лучшая чистка на моей памяти. Кажется, наконец нашла своего врача!
До
После
Имя пациента: Даниил, 35 лет
План лечения: Реставрация зубов
Сколол зуб на тренировке, здесь смогли быстро восстановить. Работа отличная, на совесть, зуб как новый.
До
После
Имя пациента: Лариса, 40 лет
План лечения: Реставрация зубов
Беспокоило, что местами есть сколы, а где-то и неровности. Обратилась за помощью. Зубы теперь как новые, выглядят идеально! От недостатков не осталось и следа.
Больше историй пациентов
Открою вам правду: щадящий метод — красивый маркетинг, классика — надёжность
10 лет
практики
Хирург-имплантолог
Юрий Кость
Классика против тренда
Классическая имплантация
Врач всё контролирует — нет неприятных сюрпризов
Для всех случаев даже самых сложных
99,8% приживаемости имплантов
Красивый контур десны, зуб как свой — всё вручную
Пожизненный срок службы при должном уходе
Без разрезов и швов
Часть работы «вслепую» — риск ошибки выше
Подходит только в 30% случаев
Риск переделок в будущем
Дёсны могут выглядеть неестественно
Меньше стабильности в долгосрочной перспективе

Классическая имплантация

Без разрезов и швов

Врач всё контролирует — нет неприятных сюрпризов
Часть работы «вслепую» — риск ошибки выше
Для всех случаев даже самых сложных
Подходит только в 30% случаев
99,8% приживаемости имплантов
Риск переделок в будущем
Красивый контур десны, зуб как свой — всё вручную
Дёсны могут выглядеть неестественно
Пожизненный срок службы при должном уходе
Меньше стабильности в долгосрочной перспективе

Преимущества и недостатки технологии All-on-6®

Преимущества
Недостатки
Новая улыбка за 1 день
Не требуется наращивание костной ткани
Установка 1 раз и на долгие годы
Полное восстановление жевательной функции
Стоимость ниже, чем при одиночной имплантации
Простой ежедневный уход
Высокие эстетические показатели
Импланты ощущаются как собственные зубы
Существуют противопоказания
Метод не подходит при чрезмерной атрофии костной ткани

Ваша имплантация All-on-6® пройдёт по международному протоколу

Международный протокол

Процедура имплантации по методу All-on-6 проходит с использованием оборудования последнего поколения, поэтому ошибки исключены.

Подробное планирование лечения

Перед операцией мы подробно планируем расположение будущих имплантов. Это обеспечивает максимальную надёжность тотального протезирования.

Современная лаборатория

Мы владеем собственной лабораторией для изготовления анатомически точных конструкций. Зубной техник вносит данные в программу, чтобы станок напечатал протез.

Ваше здоровье — в руках экспертов мировых ассоциаций цифровой стоматологии
Познакомьтесь подробнее с теми, кто позаботится о красоте вашей улыбки

5

02.05.2023
«Передаю врачам и персоналу огромное спасибо! В "Новой Орбите" мне понравилось всё - начиная от интерьера и заканчивая качеством имплантации»
Новая Орбита
Какого врача вы ищете?
Листайте, чтобы просмотреть информацию о каждом враче
Листайте, чтобы просмотреть информацию о каждом враче
Смотреть обращение
Стаж 17 лет
Леван Шария Хирург-имплантолог, основатель клиники Новая Орбита
Узнать больше о враче
Смотреть обращение
Стаж 23 года
Вадим Сумин Врач - стоматолог-ортопед
Узнать больше о враче
Стаж 10 лет
Филипп Горелов Врач - стоматолог-хирург-имплантолог
Узнать больше о враче
Стаж 15 лет
Заира Кукарова Главный врач, врач - стоматолог-терапевт
Узнать больше о враче
Смотреть обращение
Стаж 8 лет
Тимур Дадашев Врач - стоматолог-хирург-имплантолог
Узнать больше о враче
Смотреть обращение
Стаж 19 лет
Денис Давитиашвили Врач - стоматолог-ортопед
Узнать больше о враче
Стаж 14 лет
Дмитрий Решетняк Врач-стоматолог-хирург-имплантолог
Узнать больше о враче
Смотреть обращение
Стаж 17 лет
Григорий Самсонов Врач - стоматолог-ортопед
Узнать больше о враче
Смотреть обращение
Стаж 10 лет
Юрий Кость Врач - стоматолог-хирург-имплантолог
Узнать больше о враче
Смотреть обращение
Стаж 16 лет
Захар Вершинин Врач - стоматолог-ортопед
Узнать больше о враче
Смотреть обращение
Стаж 19 лет
Тарас Лемешко Врач - стоматолог-ортопед
Узнать больше о враче
Стаж 20 лет
Денис Федосов Стоматолог-ортопед
Узнать больше о враче
Стаж 3 года
Борисова Ксения Терапевт-микроскопист
Узнать больше о враче

Бесплатно получите план лечения по методу All-on-6®

Запишитесь на диагностику у хирурга-имплантолога
Профессиональный осмотр и заключение от главного хирурга-имплантолога со стажем 17 лет
Интерпретация снимка КТ и анализ состояния костной ткани
План лечения под ваш бюджет с точной стоимостью и сроками
Записаться на диагностику

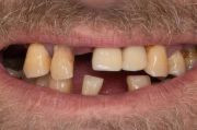
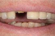
До и после имплантации All-on-6®

Установка имплантов предотвращает атрофию костной ткани, так как они заменяют настоящие корни зубов. В связи с этим лицо меняет очертания, морщины становятся менее заметны, уходит второй подбородок и брыли.
До операции
Спустя 5 часов
До операции
Спустя 5 часов

Показания и противопоказания

Проверьте, подходит ли вам имплантация All-on-6
Показания
Отсутствие всех зубов
Отсутствие большей части зубов
Противопоказания к костной пластике
Использование съёмных протезов
Атрофия костной ткани
Противопоказания
Нарушение свёртываемости крови
Иммунные заболевания
Нарушения в центральной нервной системе
Онкологические процессы в организме
Этапы имплантации All-on-6®
Всего один приём — и вы улыбаетесь как раньше
Этап 1. Имплантация
3 часа
Перед операцией используем современную импортную анестезию
Подбираем индивидуальную дозировку обезболивающего геля
Мы установим имплант через микронадрез
Этап 2. Протезирование
3 часа
Изготовим протез с коронками по индивидуальному слепку в оборудованной зуботехнической лаборатории
Установим точный адаптационный протез до полного приживления имплантов. В среднем, на полгода
Надежная первичная стабильность имплантов и протеза, а также отменная эстетика. Новые зубу будут смотреться, как свои

Как сэкономить на All-on-6® до 20%

Выбирайте клинику с собственной зуботехнической лабораторией. В этом случае вы не будете переплачивать за услуги посредников.

Ситуация на рынке такова, что большинство стоматологий заказывают коронки и протезы в сторонних лабораториях. И конечная стоимость протезирования для пациентов получается больше в среднем на 15–20%, что особенно ощутимо при восстановлении нескольких зубов.

Лечение в клиниках с собственной лабораторией не только обходится дешевле, но и проходит быстрее, потому что они не зависят от загрузки посредника.

Самсонов Григорий Врач - стоматолог-ортопед
Стаж 17 лет

Вам установят мировые импланты, проверенные тысячами пациентов

Nobel Biocare™
Nobel Biocare™
Компания – создатель уникальной технологии Идеальное решение для масштабной дентальной имплантации за 1 день. Импланты Nobel Biocare™ подходят для самых сложных случаев. Адаптированы для немедленной нагрузки. Благодаря особому покрытию приживление происходит в максимально короткие сроки. Импланты Nobel Biocare™ позволяют провести скуловую имплантацию без наращивания кости. Специальная конструкция резьбы уплотняет костную ткань и позволяет имплантам хорошо в ней закрепиться.
  • Срок службы: пожизненно
  • Приживаемость: высокая
  • Ценовая категория: премиум
Dentium
Dentium
Корейские импланты Dentium известны своим высоким качеством. В нашей практике отсутствуют случаи их отторжения. Широко используются в ведущих клиниках Азии, Европы, Америки и России. Поверхность имплантов Dentium по структуре схожа с костной тканью. Это способствует быстрому приживлению после проведения имплантации All-on-6. В линейке большой выбор выбор моделей для разных клинических ситуаций.
  • Срок службы: пожизненно
  • Приживаемость: ускоренная
  • Ценовая категория: средняя
Lenmiriot
Lenmiriot
Дентальные импланты Lenmiriot — оптимальный выбор при тотальной имплантации по методу All-on-6 даже в сложных клинических случаях. Система предполагает немедленную нагрузку и не требует наращивания костной ткани благодаря широкому размерному ряду. Простой протокол установки, уникальная обработка и особая структура поверхности штифтов обеспечивают ускоренную остеоинтеграцию и высокую совместимость с организмом.
  • Срок службы: пожизненно
  • Приживаемость: высокая
  • Ценовая категория: эконом

Даём тройную защиту вашей улыбки

Каждый пациент получает гарантийный сертификат.
Срок службы имплантов до 100 лет
Вы получите именной гарантийный сертификат
Гарантия от клиники на работу врачей до 3-х лет. Несём ответственность за каждый этап — от диагностики до финальной фиксации протеза.
до
3- х
лет
Используем протоколы и импланты, которые приживаются в 99,8% случаев. Если произошло отторжение — заменим искусственный корень бесплатно.
99,8%
За годы работы ни одни из этих предложений не пригодилось пациентам
Продолжаем помогать пациентам и после операции
Практикуем искренний сервис
Остались вопросы? С удовольствием ответим на них в WhatsApp
Готовы помочь добраться домой, вызвав вам такси
Подскажем как правильно питаться в период восстановления

Бесплатная диагностика

Исключим наличие обострения хронического заболевания и другие противопоказания. Составим план лечения под ваш бюджет от врача-имплантолога (учтем стоимость импланта, коронки/протеза).
Лечитесь по международным стандартам
Помогаем даже в тех случаях, когда другие клиники бессильны.

5

21.02.2023
«Когда встал вопрос об имплантации долго выбирала клинику. Выбор в сторону Новой Орбиты»
Новая Орбита
Во время лечения вы можете расслабиться, укутавшись в тёплый плед.

5

23.04.2023
«Замечательные врачи, пользуемся их услугами всей семьей )»
Новая Орбита
Уютная комната в современном стиле с кондиционером, кулером, чаем и кофе. Для пациентов с детьми предложим раскраски, фломастеры, присмотрим в момент оказания услуг.

5

20.10.2022
«Как долго я не могла решиться на такой шаг, очень рада, что мой выбор оказался правильным. Всем рекомендую»
Новая Орбита
При лечении пациента по системе АО4 — КТ снимки бесплатно.

5

22.02.2023
«Прекрасная клиника, стоматологи высокого класса, на себе почувствовал их профессионализм»
Новая Орбита
Специалисты нашей клиники проводят онлайн-консультации для иностранных пациентов на английском языке и помогают выбрать, какой вариант лечения подойдет в том или ином случае.

5

04.04.2023
«Хочу выразить большую благодарность всему коллективу клинике Новая Орбита»
Новая Орбита
Оборудованная платная парковка прямо у входа в клинику.

5

18.03.2023
«Уважительное отношение к пациентам. Доброжелательный персонал. Профессиональный коллектив»
Новая Орбита
К нам на лечение приезжают пациенты
со всей России
В нашем здании есть отель, ресторан, SPA-комплекс - и это всё в самом центре Санкт-Петербурга
Бесплатная WhatsApp-консультация
Бесплатно проконсультируем по услугам клиники и запишем на бесплатный осмотр врача
Входит в ТОП-10 лучших стоматологий Санкт-Петербурга
Официальный партнёр
Nobel Biocare™

по All-on-4
Получили приз “Лучший сервис”

Вопросы и ответы о методе All-on-6®

Сколько стоит имплантация по методу All-on-6?
Стоимость зависит от сложности случая и выбранной марки имплантов.  устанавливаем импланты проверенных мировых производителей в разных ценовых сегментах и точно найдём подходящее решение для вашего случая.
Чем All-on-6 отличается от обычной имплантации?
Для протезирования All-on-6 достаточно всего 6 имплантатов, которые парно устанавливаются в переднем отделе челюсти и по две пары под углом в боковом отделе, что увеличивает площадь прилегания импланта к костной ткани. При одиночной имплантации используют от 8 до 12 имплантатов под каждый зуб, это сложнее и дороже.
Чем All-on-6 отличается отличается от метода «Все зубы на 4 имплантах»
Метод All-on-6 создан для более сложных случаев, если у пациента сильный дефицит костной ткани. На бесплатной консультации мы выясним, какой вариант подходит именно вам.
Импланты могут не прижиться?
Теоретически это возможно, однако мы не сталкивались с подобными ситуациями. Мы работаем только с проверенными производителями имплантов, которым доверяем сами. Наши стоматологи подробно изучают ваш случай и проводят всю необходимую диагностику. Выполняем процедуру только после устранения всех рисков.
После операции можно есть твёрдую пищу?
После имплантации нет ограничений по питанию. Можете есть, что захотите.
Импланты будут ощущаться во рту?
Они не создают дискомфорта, не влияют на дикцию, а выглядят и ощущаются как ваши собственные зубы.
Как подготовиться к имплантации?
Прийти на бесплатную консультацию к специалистам «Новой Орбиты» и пройти диагностику. В дальнейшем вы получите подробный индивидуальный план лечения и подготовки к имплантации с указанием точной стоимости.
Online
Задайте свой вопрос онлайн
Нажимая на кнопку, вы соглашаетесь на  обработку персональных данных
Осталось записаться на бесплатную диагностику
И получить точный план лечения под свой бюджет
Нажимая на кнопку, вы соглашаетесь с  условиями обработки персональных данных

5

13.10.2022
«Замечательная клиника, очень внимательные и заботливые специалисты»
Новая Орбита

Услуги, которые могут вас заинтересовать

до 15 марта
Имплантация
17 500   от 10 500 ₽
до 15 марта
до 15 марта
Коронки
30 000   от 24 000 ₽
до 15 марта
Смотреть все цены

5

22.02.2023
«Отличнейшие профессионалы своего дела! Все доктора, с которыми сталкивалась на протяжении почти двух лет - это золотые руки и сердца!»
Новая Орбита
Современная клиника в самом центре Санкт-Петербурга
Адреса клиник: ул. Марата, д. 47-49,
Транспортный пер., д. 4.
+7 (812) 317-07-77 Работаем с 9:00 до 21:00 без выходных