Эксперты мировых сообществ
5.0
Рейтинг
Яндекса
на основе 1100+ отзывов
м. Лиговский пр-т
ул. Марата, д. 47-49
Транспортный пер., д. 4.
+7 (812) 317-07-77
Звоните, мы работаем
с 9:00 до 21:00
Услуги
Имплантация
Имплантация зубов
«Все зубы на 4 имплантах»
«Все зубы на 6 имплантах»
Скуловая имплантация (Zygoma)
Одномоментная имплантация
Протезирование на имплантах
Имплантация при полном отсутствии зубов
Импланты Lenmiriot
Импланты Dentium
All-on-4
Протезирование
Протезирование зубов
Несъёмное протезирование
Съёмное протезирование
Удаление зубов
Коронки на зубы
Виниры
Отбеливание зубов
Лечение
Лечение зубов
Лечение кариеса
Диагностика
Профгигиена
Все услуги
Цены
Акции
3
Врачи
Отзывы
63
Примеры работ
Новости
О клинике
Журнал
Контакты
+7 (812) 317-07-77
м. Лиговский пр-т
ул. Марата, д. 47-49
Транспортный пер., д. 4.
Звоните, мы работаем с 9:00 до 21:00
Цены
3
Акции
Врачи
63
Отзывы
Новости
Примеры работ
О клинике
Журнал
Контакты
Эксперты мировых сообществ
5.0
Рейтинг
Яндекса
на основе 1100+ отзывов
Главная
>
Врачи
>
Заира Омаровна Кукарова
Заира Омаровна Кукарова
Главный врач, врач -
стоматолог-терапевт
15 лет клинической практики
2000+ счастливых пациентов
Автор учебных пособий по терапии
Спикер федеральных конференций
Эксперт мировых сообществ стоматологов
Записаться на приём
* Актуальный график приёма уточните у администратора
8
из
10
пациентов приходят по рекомендации
5
15.07.2022
«Ощущения просто потрясающие как во время лечения так и после, всем советую лечение именно у Заиры Омаровны! 💕»
Смотреть полный отзыв
Полина Д.
Новая Орбита
Специализации
Заиры Омаровны
Лечит зубы по новейшим европейским технологиям
Лечение зубов
Профессиональная гигиена
Лечение кариеса
Отбеливание зубов
Диагностика
Одна из ведущих стоматологов-терапевтов
Санкт-Петербурга
Использует
передовую
импортную анестезию и обезболивающий гель
Лечит кариес
без бормашины
с помощью метода ICON
Избавляет от проблем с зубами
за один приём
Примеры работ и
отзывы пациентов
Заиры Омаровны
Смотреть отзыв
01:30
До
После
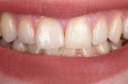
Имя пациента:
Ксения, 22 года
План лечения:
Лечение зубов
Лечащий врач:
Заира Кукарова
Из-за аллергии лечу зубы без анестезии. Удалили кариес без дискомфорта, аккуратно. Приду еще!
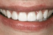
До
После
Имя пациента:
Михаил, 35 лет
План лечения:
Профессиональная гигиена
Лечащий врач:
Заира Кукарова
Из-за курения зубы очень сильно пожелтели, появился налёт, который не счищался. Тут совсем справились на ура!
До
После
Имя пациента:
Ирина, 30 лет
План лечения:
Отбеливание зубов
Лечащий врач:
Заира Кукарова
Процедура оказалась довольно комфортной, эффект уже сколько держится! Очень довольна результатом, спасибо!
До
После
Имя пациента:
Артём, 30 лет
План лечения:
Отбеливание зубов
Лечащий врач:
Заира Кукарова
Эффект выше всяких похвал, к тому же процедура не заняла много по времени. Порекомендовал вас коллеге.
До
После
Имя пациента:
Алина, 25 лет
План лечения:
Лечение кариеса
Лечащий врач:
Заира Кукарова
Повезло, что кариес был неглубоким, вылечили с помощью специального геля, я ничего и не почувствовала. В случае чего, теперь знаю, куда идти!
До
После
Имя пациента:
Людмила, 35 лет
План лечения:
Отбеливание зубов
Лечащий врач:
Заира Кукарова
Улыбка прямо преобразилась, от тёмных мест на эмали ничего не осталось. Процедуру провели очень бережно, я чуть было не уснула в процессе.
До
После
Имя пациента:
Карина, 20 лет
План лечения:
Лечение зубов
Лечащий врач:
Заира Кукарова
Спасли от кариеса и я даже не ощутила дискомфорта! Пломбу не заметить, довольна лечением.
До
После
Имя пациента:
Инна, 30 лет
План лечения:
Виниры
Лечащий врач:
Заира Кукарова
Не могу налюбоваться на свою новую улыбку! Теперь зубки выглядят идеально, все ровные и тон хорошо подошёл!
До
После
Имя пациента:
Зарина, 35 лет
План лечения:
Виниры
Лечащий врач:
Заира Кукарова
Хотелось скорректировать эстетику,избавиться от пятнышек и явных шероховатостей. Результат получился шикарным! И цена для этого более, чем приемлемая.
До
После
Имя пациента:
Игорь, 40 лет
План лечения:
Профессиональная чистка
Лечащий врач:
Заира Кукарова
Профчистку сделали очень аккуратно. Дёсны перестали кровоточить, так как удалось убрать зубной камень. Теперь буду регулярно приходить на процедуру.
До
После
Имя пациента:
Анна, 45 лет
План лечения:
Реставрация зубов
Лечащий врач:
Заира Кукарова
Беспокоили неровности и сколы на зубах, но всё удалось исправить с помощью композита. Зубки как новые!
До
После
Имя пациента:
Алексей, 20 лет
План лечения:
Лечение зубов
Лечащий врач:
Заира Кукарова
Кариес вылечили с комфортом, я ничего не ощутил. По времени тоже быстро получилось. Спасибо вам за работу!
До
После
Имя пациента:
Кристина, 30 лет
План лечения:
Профессиональная чистка
Лечащий врач:
Заира Кукарова
Предельно аккуратная и бережная работа. Пока это лучшая чистка на моей памяти. Кажется, наконец нашла своего врача!
До
После
Имя пациента:
Даниил, 35 лет
План лечения:
Реставрация зубов
Лечащий врач:
Заира Кукарова
Сколол зуб на тренировке, здесь смогли быстро восстановить. Работа отличная, на совесть, зуб как новый.
До
После
Имя пациента:
Лариса, 40 лет
План лечения:
Реставрация зубов
Лечащий врач:
Заира Кукарова
Беспокоило, что местами есть сколы, а где-то и неровности. Обратилась за помощью. Зубы теперь как новые, выглядят идеально! От недостатков не осталось и следа.
Ежегодно
повышает
квалификацию
Дагестанский Государственный Медицинский Университет
2011 г.
Бесплатно получите
план лечения
от Заиры Омаровны
Комплексный профессиональный осмотр
Заключение о состоянии всей ротовой полости
План лечения под вашу ситуацию и бюджет
Записаться на диагностику
Все врачи
«Новой Орбиты»
Члены мировых сообществ цифровой стоматологии
Посмотрите видео о нашей клинике
5
02.05.2023
«Передаю врачам и персоналу огромное спасибо! В "Новой Орбите" мне понравилось всё - начиная от интерьера и заканчивая качеством имплантации»
Смотреть полный отзыв
+7-904-55XXXXX
Новая Орбита
Современная клиника
в самом центре
Санкт-Петербурга
Адреса клиник:
ул. Марата, д. 47-49,
Транспортный пер., д. 4.
+7 (812) 317-07-77
Работаем с 9:00 до 21:00 без выходных
Маршрут в
Я
ндекс
картах
Маршрут в
2
gis
картах